2023-11-23 人气: 173
“新员工未喝领导敬酒被扇耳光”事件日前引发关注后,涉事单位厦门国际银行北京分行已发布声明回应。8月27日,中国银行业协会在其公众号上发文称,...
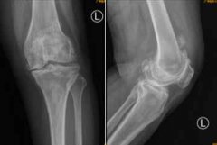
南都讯 记者李春花 通讯员 王慧 75岁的何阿姨,常年受到双膝关节疼痛的折磨,近日疼痛愈加严重,双侧膝关节逐渐弯曲变形,辗转来到广医三院关节外科...
南方网讯 9月4日,拱北海关与珠海市公安局联合举办新闻发布会,对外公布双方破获的“G2007”“水客”团伙走私高价值货物案,初估案值约10亿元。 近期...
南都记者从上海市第三中级人民法院(以下简称“上海三中院”)获悉,9月2日上午,该院开庭宣判销售仿冒“乐高”案。被告人李某某以侵犯著作权罪被...
南都讯 记者徐全盛 通讯员焦雪珂 赵祯 一场不存在的交通事故,修车厂周到的“一条龙”服务。暗藏其后的,是保险理赔的骗局。近期,深圳宝安警方抓获...
投身公益从来是职业足球俱乐部的社会责任之一,尽管很多中国俱乐部还没有充分意识到这一点。各个城市的中超球队在社区、城市乃至全国范围内都拥有...
近日,王女士(化名)向南都“记者帮”反映,其在58同城 “到家精选”选购上门疏通马桶服务,公司工作人员在电话介绍只需80-100元即可,但师傅上门后...
有多少App可以“轻松借钱”?
大连市一轿车撞击行人致4死3伤 警方:驾
榴莲香蕉成房价单位?深圳查处以水果打
深圳全面禁止代理小产权房?这个区已发